矯正歯科

このページの目次
- 1 【矯正無料相談実施中】見た目に配慮した矯正治療に努めております
- 2 日本成人矯正歯科学会認定医が矯正治療を担当いたします
- 3 日本成人矯正歯科学会とは
- 4 日本成人矯正歯科学会認定医による無料矯正相談を実施中
- 5 BiVi歯科クリニックで実施した成人矯正の治療例をご紹介
- 6 マウスピース型矯正装置を用いた快適な歯並び改善
- 7 3D光学スキャナーiTero エレメント5Dplusによる精密な型取り
- 8 マウスピース型矯正装置インビザラインの治療費
- 9 デンタルローンによる分割払いに対応しています
- 10 矯正治療は医療費控除の対象となります
- 11 ワイヤー矯正装置による歯並びの改善も実施しております
- 12 セルフライゲーションブラケット装置「デーモンシステム」
- 13 ワイヤー矯正治療の費用
- 14 可能な限り歯を抜かない矯正治療に努めています
- 15 矯正の治療期間と開始時期
- 16 矯正治療で治療が可能な不正歯列
- 17 矯正治療後の後戻りとリテーナー
- 18 一般的な矯正治療の注意点やリスクについて
- 19 八潮市で歯並びや咬み合わせの改善をご希望の方へ
【矯正無料相談実施中】見た目に配慮した矯正治療に努めております

BiVi歯科クリニックでは、歯並びでお悩みの方が前向きに矯正治療に取り組めるよう、矯正治療の大きな悩みでもある治療中の見た目に配慮した矯正治療に力を入れています。「歯並びを改善したいけど、目立つ装置は抵抗がある」という方や人前に出るお仕事をされている方はぜひ、お気軽にご相談ください。
日本成人矯正歯科学会認定医が矯正治療を担当いたします

BiVi歯科クリニックの矯正治療は「日本成人矯正歯科学会」・「日本顎咬合学会」の認定医資格を有した歯科医師が担当いたします。
診査・診断結果に基づき、患者さま一人ひとりに適した精密な矯正治療をご提供いたします。
日本成人矯正歯科学会とは
「成人を対象とした矯正歯科治療に特化した学術団体」
日本成人矯正歯科学会は、14歳以降の成長期を過ぎた方を対象とする「成人矯正」に特化した学術団体です。
1993年に設立され、矯正治療の発展や矯正医の育成、専門医・認定医制度の導入などを通じて、質の高い矯正治療の普及に取り組んでいます。
日本成人矯正歯科学会の認定医について
日本成人矯正歯科学会では、成人矯正治療の水準を保ち、さらに向上させることを目的として、専門的な知識と技術を備えた歯科医師を評価・認定する「矯正認定医」制度を設けています。
矯正認定医とは、矯正治療に関する専門的な知識と技術を兼ね備えた歯科医師です。長年にわたり矯正治療の経験を積み、学会が定める基準と認定試験に合格した歯科医師だけが、この資格を取得できます。
日本成人矯正歯科学会の認定医になるための条件
認定医の資格を申請しようとする者は、下記の1~3項、あるいは1、2、4項の要件をすべて満たさなければならない。
日本の歯科医師免許を有すること。
本学会に5年以上継続して在籍していること。但し、本学会入会以前に他の矯正歯科関連学会に在籍していた場合。
本学会認定医研修プログラムを終了しているかあるいは、本学会の認める矯正歯科専門医療機関 (大学歯学部附属病院矯正歯科、その他)に2年以上在籍して矯正歯科基礎研修を修了し、本学会の実施する認定医申請資格試験に合格していること。
但し、本学会の認定研修施設に5年以上在籍し、認定研修プログラムを終了していると認定研修施設の責任者が認めた場合、あるいは本学会の認める矯正歯科専門医療機関(大学歯学部附属病院矯正歯科、その他)に5年以上在籍して認定研修プログラムを終了していると認められた者は、この試験を免除する。
本学会の認定研修施設、あるいは本学会の認める矯正歯科専門医療機関に5年以上在籍していると同等の矯正臨床経験を有すると認められる者は、本学会の認定研修プログラムを修了し、本学会の実施する認定医申請資格試験に合格していること。
日本成人矯正歯科学会の認定医は歯科医師全体の約0.25%
日本成人矯正歯科学会の認定医は約250名です。
日本国内における歯科医師の総数は約10万人とされており、矯正認定医は全体の約0.25%(400人に1人程度)という割合です。
近年で認定医資格を取得した人数については、令和元年と令和2年にそれぞれ3名ずつと非常に少なく、ここ数年の間は1桁台で推移しています。
日本成人矯正歯科学会認定医による無料矯正相談を実施中

BiVi歯科クリニックでは、歯並びでお悩みの方が不安なく矯正治療を開始できるよう、矯正無料相談(カウンセリング)を実施しております。
患者様のお悩みやご希望などをお聞きしながら、矯正治療について詳しくご説明させていただきます。
矯正治療をご検討中の方はぜひ、お気軽にご相談ください。
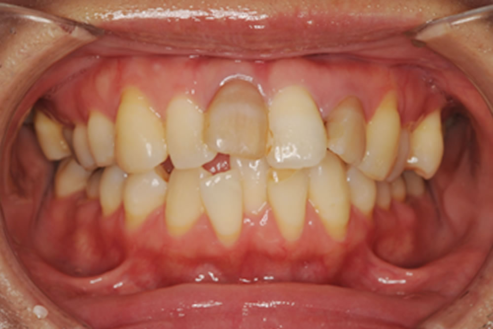
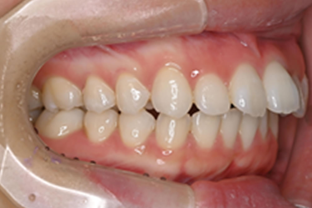
BiVi歯科クリニックで実施した成人矯正の治療例をご紹介
▼当院で実際に行った小児矯正治療の症例をご紹介します。
成人矯正:叢生症例(30代女性)

歯科矯正用アンカースクリューを用いた矯正により、歯のでこぼこ・咬み合わせを改善。さらに歯茎が下がってしみているところは、結合組織移植を行って改善しました。
この症例の詳細はこちら
マウスピース型矯正装置を用いた快適な歯並び改善

マウスピース型矯正装置「インビザライン」を用いた矯正治療では、金属製のブラケットやワイヤーを使用せずに歯並びの改善が行えます。またマウスピース型矯正装置「インビザライン」は、透明な素材ですので周囲に気付かれることもほとんどなく、取り外しも出来ますので歯磨きや食事の際に煩わしさを感じることもありません。
透明な素材で目立たない

マウスピース型矯正装置「インビザライン」は透明な樹脂製のため、審美性が高く、装置を装着している時でも周囲に気付かれることがほとんどありません。
3D画像で歯の動きを確認可能
矯正治療前に3D画像を使用して、ご自身の歯の動き、最終的な歯列を確認できます。最終的なゴールが見えることで、治療意識を高めていただけます。
3D光学スキャナーiTero エレメント5Dplusによる精密な型取り

BiVi歯科クリニックでは、3D光学スキャナー「iTero エレメント5Dplus」を完備しております。3D光学スキャナー「iTero エレメント5Dplus」は、マウスピース型矯正装置「インビザライン」の製作時に必要な精密な歯型の採取をはじめ、3D画像でのシミュレーションによって、歯がどのように動くのかなどを事前に確認することができます。
3D光学スキャナーiTero エレメント5Dplusのメリット
不快感を感じることなく短時間で精密な型取りが可能
お口の中をスキャンするだけで精密な歯型を採取することができます。一般的な型取りで用いる粘度のような材料を使用しないため、オエッとなって気持ち悪くなることもありません。嘔吐反射が強い方も負担なく型取りが可能です。
3Dシミュレーションで矯正治療後の歯並びを確認できる
採取した口腔内データを基に、歯がどのように動くのか、矯正後の歯並びがどのようになるのかをシミュレーションをすることができます。矯正治療後の歯並びが事前にイメージできるため、患者さまもモチベーションを高めて矯正治療に取り組んでいただけます。
虫歯のチェックも同時に行えます
3D光学スキャナーiTero エレメント5Dplusには、近赤外線画像(NIRI)による隣接面の虫歯チェック機能が搭載されています。見落としがちな虫歯の早期発見・早期治療が可能となるため、矯正治療の前にしっかりと口腔内環境を整えることができます。
マウスピース型矯正装置(インビザライン)の
リスク・デメリット
- 1日あたり20時間以上装着が必要となります。
- マウスピース矯正だけでは治療が難しい場合があります。(一時的にまたは部分的にワイヤーとブラケットによる従来の矯正方法を平行して行うことにより治療可能となります)
- 適切な装着時間が確保できていない場合は、矯正期間が長くなったり、治療結果に影響が出る可能性があります。
- 歯が移動する際、鈍痛や違和感を感じる場合があります。
- マウスピースを装着したまま糖分の多い飲料水など頻繁に摂取すると、虫歯リスクが高くなります。
マウスピース型矯正装置(インビザライン)と薬機法等について
- マウスピース型矯正装置(インビザライン)は、薬機法上の承認を得ておりません。
※マウスピース型矯正装置(インビザライン)で用いるクリンチェック・ソフトウェアは薬機法の承認を得ています。 - マウスピース型矯正装置(インビザライン)は、米国アライン・テクノロジー社が製造している製品です。当院は、アライン・テクノロジー・ジャパンを通じて入手し、矯正治療に使用しています。
- 日本国内においても、様々なマウスピース型の矯正装置が製造・販売されており、薬事承認されている物もいくつかございます。日本で医療機器として認可をいただく場合は「日本の国家資格を有した医師・歯科技工士が薬事承認されている材料で製作した物」または、「薬事承認された材料で製作した既製品」でなければならないため、海外で製作されるマウスピース型インビザラインは認められません。
- マウスピース型矯正装置(インビザライン)は、1998年にFDA(米国食品医薬品局)により医療機器として認証を受けています。世界でこれまで約1,300万人以上(※2022年6月時点における「インビザライン・システム」および「インビザライン Goシステム」の合計)の方が治療を受けられていますが、矯正治療に伴う一般的なリスク以外の副作用等については報告はありません。
- マウスピース型矯正装置(インビザライン)は、完成物薬機法対象外の矯正歯科装置です。そのため、承認薬品を対象とする医薬品副作用被害救済制度の対象外となる場合があります。
マウスピース型矯正装置インビザラインの治療費
※下記すべて税込となります。
矯正相談・カウンセリング・・・無料
| 名称 | イメージ | 特性 | 料金(税込) |
|---|---|---|---|
| 精密検査/診断費 | ![]() |
レントゲンや模型などの資料を取り、診断をして、診断結果を患者さまにお話しするまでにかかる費用です。 | 33,000円 |
| マウスピース矯正(インビザライン) | ![]() |
目立たず、透明に近い、取り外しが可能なマウスピース型矯正装置です。 ※調整費、初診カウンセリング0円 |
385,000~990,000円 |
| 矯正期間中の調整費 | ![]() |
矯正期間中に治療経過を確認するため、定期的にご来院いただきます。 | 0円 |
症例に応じたマウスピース矯正治療プランをご用意しています
症例の難易度や治療期間に応じて、「治療期間が比較的短いケース」「中程度のケース」「難易度が高く治療期間を要するケース」の3つに分け、それぞれ適切な治療費を設定しています。
患者さまにとって無理のない、適正な費用でインビザライン治療を受けていただけるよう、3段階の料金体系をご用意しております。

デンタルローンによる分割払いに対応しています
当院では、費用面に不安をお持ちの方にも配慮し、デンタルローン(分割払い制度)を導入しております。月々の支払い額を調整しながら、計画的に治療をスタートしていただくことが可能です。

矯正治療は医療費控除の対象となります

国の制度である医療費控除を活用することで、上記の矯正治療費が実質5~45%お安くなります。医療控除の還付率は、1年間の所得と支払った医療費によって変動します。
(例)年間所得500万の方が99万円の矯正治療を受けた場合は?
医療費控除により、約24万円(所得税の還付金16万+翌年度の住民税減額金額8万)戻ってきます。つまり、矯正治療が99万→75万円で行えるということになります。
ワイヤー矯正装置による歯並びの改善も実施しております
BiVi歯科クリニックでは、上記のマウスピース型矯正装置の他に、一般的なワイヤーを用いた矯正治療にも対応しています。一般的な装置はもちろん、目立たないワイヤーを使用した装置や短期間での改善が見込める装置など、患者様のご要望に沿った治療計画をご提案いたします。
以下では、当院で取り扱っているワイヤー矯正装置についてご紹介いたします。
クリアブラケットを使用したワイヤー矯正
こちらは、目立たない透明や白色のワイヤーやブラケットを使用するものです。一般のものと同じく歯の表側に付けるものの、目立ちにくくさせることができます。
一般的な装置と設計は変わらないため、矯正効果も高く、幅広い症例に適応可能です。
セルフライゲーションブラケット装置「デーモンシステム」

セルフライゲーションブラケット装置「デーモンシステム」は、一般的な矯正装置のようにワイヤーを縛り付けないので、装置とワイヤーの間の摩擦が少なく、弱い力で歯を効率良く移動させることができ、歯の移動に伴う痛みや違和感の軽減が期待できます。
セルフライゲーションブラケット装置「デーモンシステム」のリスク・デメリット
- 一般的なワイヤー矯正装置に比べて費用が高額になる傾向があります。
- 装置が僅かに厚いため、慣れるまでに異物感を感じる場合があります。
- ワイヤーの保持力が弱いため、歯の捻転や傾き等の改善に時間がかかることがあります。
セルフライゲーションブラケット装置「デーモンシステム」と薬機法等について
- セルフライゲーションブラケット装置(デイモンシステム)は、薬機法上の承認を得ておりません。
- セルフライゲーションブラケット装置(デイモンシステム)に関する諸外国における安全性に係る情報は現在ありません。
- セルフライゲーションブラケット装置(デイモンシステム)は、完成物薬機法対象外の矯正歯科装置です。そのため、承認薬品を対象とする医薬品副作用被害救済制度の対象外となる場合があります。
ワイヤー矯正治療の費用
※下記すべて税込となります。
矯正相談・カウンセリング・・・無料
| 名称 | イメージ | 特性 | 料金(税込) |
|---|---|---|---|
| 精密検査/診断費 | ![]() |
レントゲンや模型などの資料を取り、診断をして、診断結果を患者さまにお話しするまでにかかる費用です。 | 33,000円 |
| 成人矯正(マルチブラケット・ワイヤー矯正など) | ![]() |
歯にブラケットを貼り付けて歯を動かす方法です。一般的な大人の成人の矯正治療です。目立たない装置での矯正にも対応しています。 | 495,000円〜990,000円 |
| 部分矯正 | ![]() |
補綴(被せ物)を入れる前に1歯から数歯の部分的な矯正を行います。 | 55,000~385,000円 |
| 矯正期間中の調整費 | ![]() |
矯正装置の調整に毎月ご来院いただきます。 | 5,000円/月 |
※抜歯が必要な場合、抜歯料金は別途頂戴いたします。
可能な限り歯を抜かない矯正治療に努めています

矯正治療を行う際、症例によっては抜歯が必要になることもございます。ですが、健康な歯を抜くことは、いくら治療のためとは言え望ましくありません。そのため、当院では症例によって、以下3つの処置の中から適切な方法を選定し、できるだけ歯を抜かずに矯正治療を行えるよう努めております。
マウスピース型矯正装置と拡大床装置の併用による非抜歯矯正
当院では、できるだけ歯を抜かずに矯正に必要なスペースを獲得するため、拡大床装置とマウスピース矯正装置を併用した方法をご提案しています。
歯を綺麗に並べるために、土台となる顎骨を拡大床装置で広げた後、マウスピース矯正装置を使用して歯列を整えます。2つの装置の特性を活かすことで、できるだけ歯を抜かずに矯正治療が行えます。
奥歯をさらに奥へ動かすことでスペースを得る
奥歯から順に中心から遠ざけていく「遠心移動」によって、歯を抜かずにスペースを得れる場合もございます。
歯科矯正用アンカースクリューを用いた矯正治療によって歯を奥側へと引っ張る方法や、マウスピース型矯正装置を用いた移動法がございます。
※歯科矯正用アンカースクリューを用いた矯正治療は外科処置が必要となるため、当院ではできるだけマウスピース型矯正装置での治療法をご提案しております。
歯の側面を削るIPR法による非抜歯矯正
歯の両側面を0.2~0.5㎜ずつ削り、歯幅を縮小させてスペースを確保するのがIPRと呼ばれる方法です。
歯を削るのには抵抗がある方も多いと思いますが、削る量も歯の健康に支障がない程度のわずかな範囲ですので、虫歯や歯周病になりやすくなったり、寿命が縮まったりすることもありません。
矯正の治療期間と開始時期

一般的にどのような歯列矯正においても治療期間が3年を超えることは珍しいです。外科処置を伴う矯正治療でも3年程度で終わることが多いです。部分的な矯正などの場合は最短3ヶ月~6ヶ月程度で終わる場合もあります。矯正治療には様々な要素が関わってきますので、一概に「出っ歯なら2年」などと決まって言えません。治療期間が気になる場合は最寄りの歯科医院にご相談ください。
また、治療の開始時期としましては、6歳臼歯が生え揃う前後が矯正治療に最も適している開始時期と言われていますが、60代や70代で矯正治療を始める方もいらっしゃいますし、治療の進行具合は大人になってしまえば20代も60代もほとんど変わりはありません。ですから、大人の場合は「自分の歯並びが気になった時が始め時」ということになるでしょう。
矯正治療で治療が可能な不正歯列
矯正治療で取り扱うものは、専門的には歯列不正と言われるもので、歯並びに何かしらの問題が認められるお口環境になります。タイプ別に次のようなものに分けられます。
出っ歯

遺伝的にも日本人に比較的多く見られる歯列不正です。上の前歯が前方に出ている状態で、顔の印象にも大きな影響を与えます。
開口

奥歯同士が噛み合っている時に、前歯が噛み合わず双方に届いていないため、常にお口が開いたような状態となってしまうものです。
受け口

上の歯よりも下の歯が前方に突き出しているもので、横から見ても顎が出ているような状態のものです。上の歯が削れてしまう可能性が高くなります。
叢生(そうせい)

歯が生える方向に様々な乱れがあるもので、「らんぐい」とも呼ばれます。咬み合わせが悪く、虫歯になりやすい特徴があります。
空隙歯列(くうげき)

一般的に「すきっ歯」と言われる状態で、歯と歯の間に隙間が見られるものです。発音への悪影響も懸念されます。
過蓋咬合(かがいこうごう)

上の歯と下の歯が過度に噛み合っているような状態で、開口と逆の状態の歯列不正です。歯をすり減らしてしまう可能性が高くなります。
矯正治療後の後戻りとリテーナー

矯正治療が完了し、歯並びキレイに整ったあとはリテーナーというマウスピース型の装置を就寝時のみ利用いただきます。リテーナーは矯正した歯列が後戻りを起こさないように保定する役目を果たします。保定期間は1~2年が一般的ですが、できることなら一生つけていただくことをおすすめします。
最初の1~2年は毎日、3年以降は3日に1回などと少しずつリテーナーをつける回数を減らしていくと楽ですが、ずっとつけないということはおすすめしません。矯正した歯列はリテーナーなしでは、そのほとんどが後戻りします。よって、リテーナーとは就寝時のみ、一生の付き合いになると思っていたほうが良いです。
一般的な矯正治療の注意点やリスクについて
- 矯正治療は自費診療となるため、治療費用が高額になります。(※外科処置が必要となる特殊な症例は保険適用)
- 半年~数年の治療期間が必要となります。
- 症例によっては歯を抜いたり、歯を削ったりする場合があります。
- 治療の過程で一時的に症状が悪化する場合があります。
- 骨格的な問題がある場合には、外科処置が必要となる場合があります。
- 矯正治療後は歯の後戻りがあるため、保定処置が必要となります。
- 歯が正常な位置に動くことで、歯間に存在する歯肉が減り、歯の間に三角形の隙間(ブラックトライアングル)が生じる場合があります。
八潮市で歯並びや咬み合わせの改善をご希望の方へ

埼玉県八潮市で歯並びのお悩みをお持ちの方は、ぜひお気軽に当院へお越しください。矯正の種類や方法、期間や費用などについて親身にご相談に乗ります。矯正相談も実施しておりますので、以前から気になっていたけど、なかなかきっかけがなかった方など、ぜひBiVi歯科クリニックをご活用ください。
























