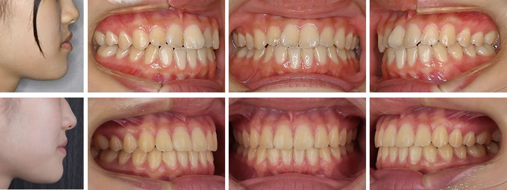
叢生(デコボコ歯列)の大人の矯正治療例
叢生(デコボコ歯列)の歯列の矯正治療ビフォーアフター写真と解説

治療の詳しい解説
10代の女性です。前歯の歯並びが気になる。右の前歯が反対になっていて引っかかることを主訴に来院されました。分析の結果、叢生という状態でなるべく見えない矯正を選択されました。
ワイヤー矯正とマウスピース矯正のハイブリット治療により、両方のメリットを生かした治療により機能・審美ともに良好な仕上がりになりました。
治療期間中も痛みや苦痛がなく、治療終了後は前が引っかかることがなくなったので顎が楽な位置に維持でき、横顔も綺麗になりました。
患者様・治療内容の主な概要
| 年齢・性別 | 10代女性 |
|---|---|
| 矯正治療期間 | 1年6ヶ月 |
| 治療回数 | 14回 |
| 治療費 | 99万円(税込) |
| 抜歯の有無 | なし |
| 使用矯正装置 | マルチブラケット(一般的なワイヤー矯正) マウスピース型矯正装置「インビザライン」 |
| この治療の想定されるリスク | 前歯が後戻りする事があります。 |




