上顎前突(出っ歯)の大人の矯正治療例4
上顎前突(出っ歯)の歯列の矯正治療ビフォーアフター写真と解説

治療の詳しい解説
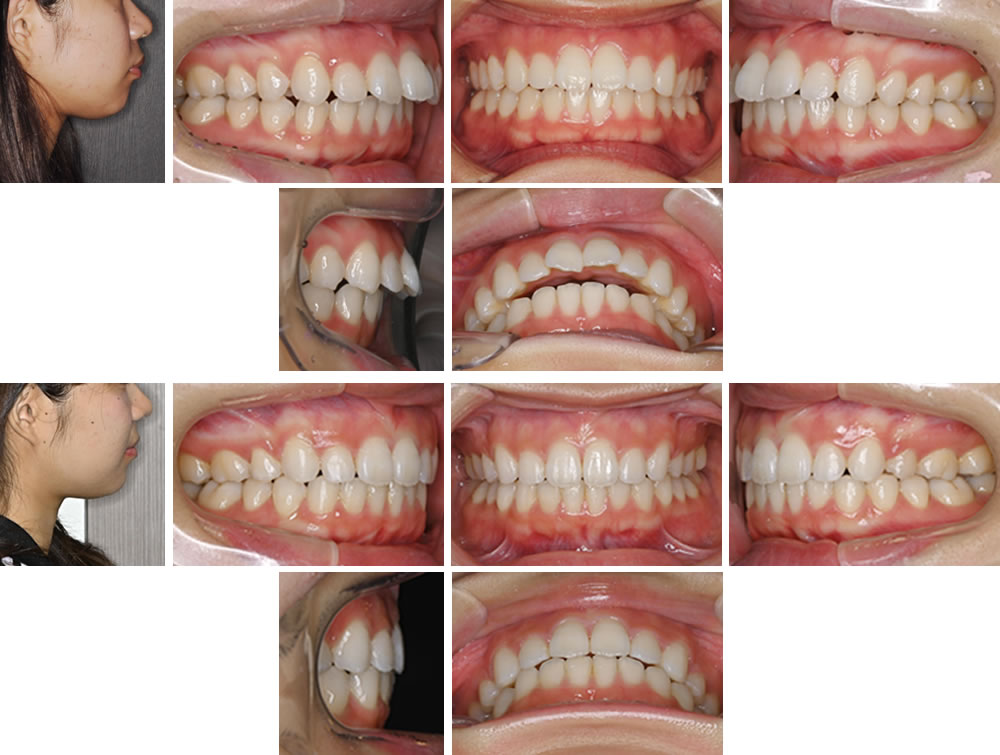
10代の女性です。上の前歯が出ていること気にされて来院されました。骨格的に上下に違いがあり、精密検査の結果、上の第一小臼歯を抜歯して治療を行いました。
歯並びが綺麗になっただけでなく口元がご覧の通りスッキリしてお顔が美しくなりました。歯ブラシもしやすくここからはクリーニングとメンテナンスで診ていきます。セルフライゲーションブラケット装置「デーモンシステム」を使用することで弱い力を利用し矯正のリスクである歯茎下がりも回避出来ました。
患者様・治療内容の主な概要
| 年齢・性別 | 10代女性 |
|---|---|
| 矯正治療期間 | 1年8ヶ月 |
| 治療回数 | 15回 |
| 治療費 | 99万円(税込) |
| 抜歯の有無 | 上の第一小臼歯を抜歯しました |
| 使用矯正装置 | セルフライゲーションブラケット装置「デーモンシステム」 |
| この治療の想定されるリスク | 後戻りする事があります。リテーナーを使用して頂いております。 |




